Grossly Unremarkable In Medical Terms

Grossly Unremarkable In Medical Terms - Vellabox Webnov 26, 2023 · the phrase “soft tissues are unremarkable” plays a significant role in describing the condition of certain body structures. Webgrossly normal usually means that the organ in question may be better assessed with a different imaging study but shows no evidence of abnormality on the current study. Weboct 6, 2022 · grossly unremarkable means that we do not see anything obvious but the exam may be limited for that organ or structure in some way. For example, ct is not the best test test to look at the gallbladder.
What does The grossly unremarkable part mean? : r/medical_advice
What does The grossly unremarkable part mean? : r/medical_advice
Ultrasound is better to look for stones and other. Web“gross” and “grossly” are frequently used terms in medical parlance. Most often, radiologists use these words in imaging reports to make a broad distinction or indicate the presence. Webnov 30, 2022 · meaning.

Related fall coloring pages


These findings suggest that use of common medical phrases may lead to confusion among patients affecting health outcomes. Webin a medical setting, grossly unremarkable means that the doctor did not see anything unusual with the naked eye. Continue reading on to learn more about how and why this.

Table of Contents

Terms of Use: To share, please send a link to this page. Please do not sell them, email them, share copies online, or distribute them in any way for any other purpose. Thanks!

What does The grossly unremarkable part mean? : r/medical_advice

What does The grossly unremarkable part mean? : r/medical_advice
What does The grossly unremarkable part mean? : r/medical_advice of Grossly Unremarkable In Medical Terms . Source: www.reddit.com

Grossly Unremarkable – joy murray art~stories~life

Grossly Unremarkable – joy murray art~stories~life
Grossly Unremarkable – joy murray art~stories~life of Grossly Unremarkable In Medical Terms . Source: joymurray.com

ER RN/Grossly Hemolyzed Specimen #VoteBlue on Twitter: "Me when I'm

ER RN/Grossly Hemolyzed Specimen #VoteBlue on Twitter: "Me when I'm
ER RN/Grossly Hemolyzed Specimen #VoteBlue on Twitter: "Me when I'm of Grossly Unremarkable In Medical Terms . Source: twitter.com

Microscope Drawing/Art..Black&white pencil shade...Medical/biology

Microscope Drawing/Art..Black&white pencil shade...Medical/biology
Microscope Drawing/Art..Black&white pencil shade...Medical/biology of Grossly Unremarkable In Medical Terms . Source: www.pinterest.co.uk

Netquest In-House Experience Team Create New Visual Identity: from

Netquest In-House Experience Team Create New Visual Identity: from
Netquest In-House Experience Team Create New Visual Identity: from of Grossly Unremarkable In Medical Terms . Source: worldbranddesign.com

Terms & conditions

Terms & conditions
Terms & conditions of Grossly Unremarkable In Medical Terms . Source: www.promotionterms.co.uk

Acrylic LED Display Case For Lego Star Wars Sets, Lego Helmet

Acrylic LED Display Case For Lego Star Wars Sets, Lego Helmet
Acrylic LED Display Case For Lego Star Wars Sets, Lego Helmet of Grossly Unremarkable In Medical Terms . Source: co.pinterest.com

Does twinkle artifact truly represent a kidney stone on renal

Does twinkle artifact truly represent a kidney stone on renal
Does twinkle artifact truly represent a kidney stone on renal of Grossly Unremarkable In Medical Terms . Source: www.jpurol.com

75 Must-Know Medical Terms, Abbreviations, and Acronyms Medical Tv

75 Must-Know Medical Terms, Abbreviations, and Acronyms Medical Tv
75 Must-Know Medical Terms, Abbreviations, and Acronyms Medical Tv of Grossly Unremarkable In Medical Terms . Source: www.pinterest.com

Footsteps Medical Missions, Inc. | Dexter MO

Footsteps Medical Missions, Inc. | Dexter MO
Footsteps Medical Missions, Inc. | Dexter MO of Grossly Unremarkable In Medical Terms . Source: web.facebook.com

Medical Abbreviations with Terms and Terminology APK برای دانلود اندروید

Medical Abbreviations with Terms and Terminology APK برای دانلود اندروید
Medical Abbreviations with Terms and Terminology APK برای دانلود اندروید of Grossly Unremarkable In Medical Terms . Source: apkpure.com

[READING BOOK] Stedman’s Medical Terms and Phrases: A Complete Guide to

[READING BOOK] Stedman’s Medical Terms and Phrases: A Complete Guide to
[READING BOOK] Stedman’s Medical Terms and Phrases: A Complete Guide to of Grossly Unremarkable In Medical Terms . Source: medium.com

Unremarkable In Imaging (1080 × 1080 px) - Medical Associates of

Unremarkable In Imaging (1080 × 1080 px) - Medical Associates of
Unremarkable In Imaging (1080 × 1080 px) - Medical Associates of of Grossly Unremarkable In Medical Terms . Source: mana.md

Firmware Terms You Should Know

Firmware Terms You Should Know
Firmware Terms You Should Know of Grossly Unremarkable In Medical Terms . Source: blog.zsa.io

CMAA EXAM TEST A QUESTIONS AND ANSWERS GRADED A in 2023 | Medical terms

CMAA EXAM TEST A QUESTIONS AND ANSWERS GRADED A in 2023 | Medical terms
CMAA EXAM TEST A QUESTIONS AND ANSWERS GRADED A in 2023 | Medical terms of Grossly Unremarkable In Medical Terms . Source: www.pinterest.com

terms.pdf | DocDroid

terms.pdf | DocDroid
terms.pdf | DocDroid of Grossly Unremarkable In Medical Terms . Source: www.docdroid.net

Jobs - Orka

Jobs - Orka
Jobs - Orka of Grossly Unremarkable In Medical Terms . Source: orkafinancial.com

Learn these basic sign language gestures while wearing a face mask in

Learn these basic sign language gestures while wearing a face mask in
Learn these basic sign language gestures while wearing a face mask in of Grossly Unremarkable In Medical Terms . Source: www.pinterest.com

September 2012 Case of the Month Question | UC Davis Department of

September 2012 Case of the Month Question | UC Davis Department of
September 2012 Case of the Month Question | UC Davis Department of of Grossly Unremarkable In Medical Terms . Source: www.ucdmc.ucdavis.edu

Trump brings McDonald's to court, more of the best pictures from his

Trump brings McDonald's to court, more of the best pictures from his
Trump brings McDonald's to court, more of the best pictures from his of Grossly Unremarkable In Medical Terms . Source: www.msn.com

FCA [Free Carrier] Incoterms for shipping and exports

FCA [Free Carrier] Incoterms for shipping and exports
FCA [Free Carrier] Incoterms for shipping and exports of Grossly Unremarkable In Medical Terms . Source: sell.amazon.in

terms.pdf | DocDroid

terms.pdf | DocDroid
terms.pdf | DocDroid of Grossly Unremarkable In Medical Terms . Source: www.docdroid.net

"על כל זרם חינוך בארץ לחנך ילדים וילדות להכרה בזהויות היהודיות השונות כאן"

"על כל זרם חינוך בארץ לחנך ילדים וילדות להכרה בזהויות היהודיות השונות כאן"
"על כל זרם חינוך בארץ לחנך ילדים וילדות להכרה בזהויות היהודיות השונות כאן" of Grossly Unremarkable In Medical Terms . Source: heb.hartman.org.il

Sample Size Determination - Easy Notes 4U Academy

Sample Size Determination - Easy Notes 4U Academy
Sample Size Determination - Easy Notes 4U Academy of Grossly Unremarkable In Medical Terms . Source: easynotes4u.com

Toei must have them by the balls in terms of SH art : r/DragonballLegends

Toei must have them by the balls in terms of SH art : r/DragonballLegends
Toei must have them by the balls in terms of SH art : r/DragonballLegends of Grossly Unremarkable In Medical Terms . Source: www.reddit.com

terms.pdf | DocDroid

terms.pdf | DocDroid
terms.pdf | DocDroid of Grossly Unremarkable In Medical Terms . Source: www.docdroid.net

Incoterms 2020 Explained

Incoterms 2020 Explained
Incoterms 2020 Explained of Grossly Unremarkable In Medical Terms . Source: blog.ascentlogistics.com

terms_conditions_md.pdf | DocDroid

terms_conditions_md.pdf | DocDroid
terms_conditions_md.pdf | DocDroid of Grossly Unremarkable In Medical Terms . Source: www.docdroid.net

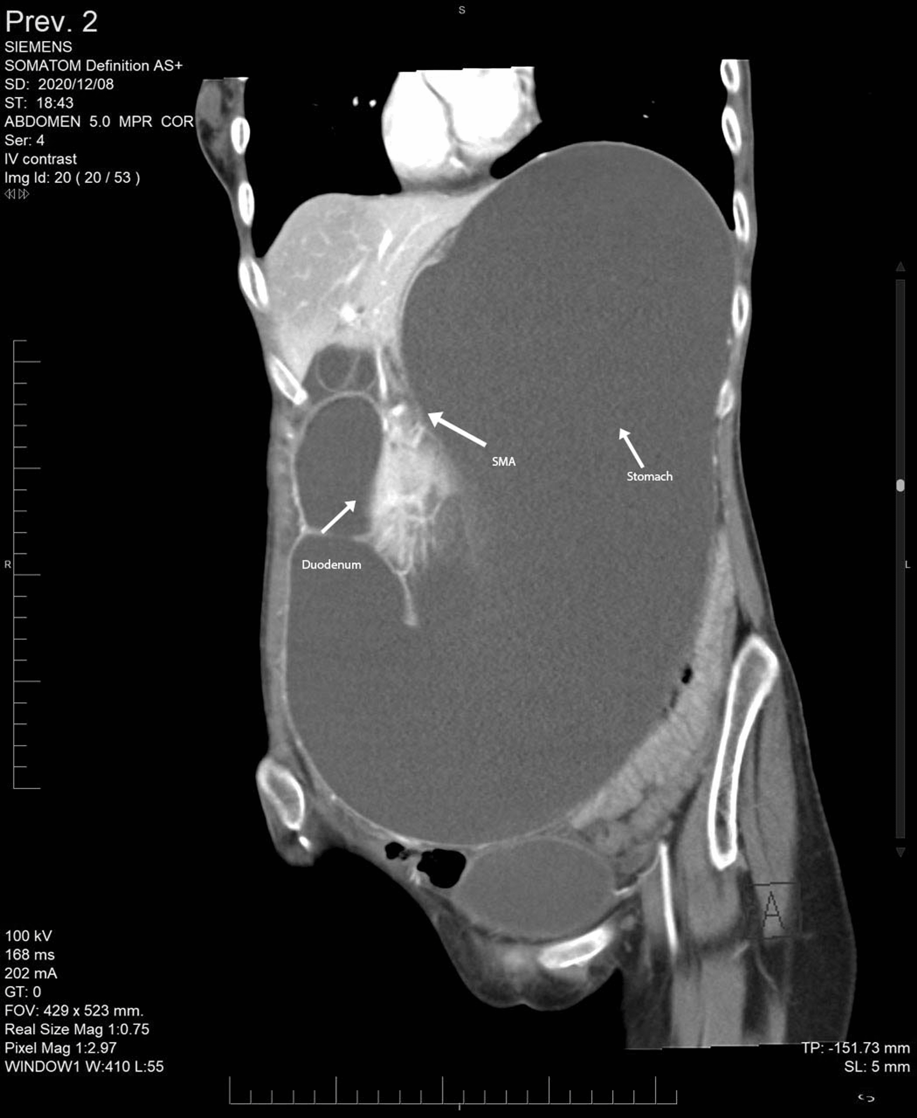
A Rare Presentation of Superior Mesenteric Artery Syndrome as Acute

A Rare Presentation of Superior Mesenteric Artery Syndrome as Acute
A Rare Presentation of Superior Mesenteric Artery Syndrome as Acute of Grossly Unremarkable In Medical Terms . Source: www.cureus.com

Jonathan Golden - Shalom Hartman Institute

Jonathan Golden - Shalom Hartman Institute
Jonathan Golden - Shalom Hartman Institute of Grossly Unremarkable In Medical Terms . Source: www.hartman.org.il

Related Of Grossly Unremarkable In Medical Terms